Mon - Sat 08:00 - 20:00 (+91) 9557001102semwaldiagnostics@gmail.com
Pick up and Drop
Service Available
Number #1
Clinic in Dehradun

How to Prepare for a HRCT Thorax Test? Eating, Clothing, and Timing

Medical imaging can often feel overwhelming, especially when terms like “High-Resolution Computed Tomography” are involved. However, understanding what is HRCT thorax test is and how to prepare for it can significantly reduce anxiety and ensure the process goes smoothly. At Semwal Diagnostics, we prioritize patient comfort and clarity.

This guide explains in detail the exact ways of getting ready for your visit, with particular attention paid to the most important issues, such as food intake, dressing, and the time of arrival.

What is a HRCT Thorax Test?

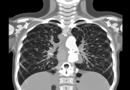
A HRCT thorax test (High-Resolution Computed Tomography) is one of the imaging methods that give doctors a direct view of the lung tissue through the clearest pictures. This advanced scan not only allows doctors to see the lung tissue in detail but also gives very clear thin slices of the lung for better and more accurate diagnosis of interstitial lung diseases, infections, and other complications through high-resolution imaging.

Many patients ask, “Why HRCT thorax test is done?” It is typically recommended when a standard HRCT chest test or X-ray does not provide enough detail to diagnose conditions such as pulmonary fibrosis, bronchiectasis, or to assess lung involvement in systemic diseases.

HRCT Thorax Test

How to Prepare: A Step-by-Step Guide

Proper preparation ensures that the images captured are clear and that you remain safe throughout the procedure.

1. Eating and Drinking

In the majority of the non-contrast HRCT thorax test cases, there is no need for strict fasting. You can consume a light meal as well as water. Nevertheless, if your certain test necessitates the use of a contrast dye (which is rare for regular HRCT but still a possibility), you may have to refrain from eating for 4 hours before the test.

  • General Rule: Hydration is essential.
  • Contrast Scans: Four hours prior to the appointment, refrain from eating solid foods if our team has given you such instructions.

2. Clothing and Accessories

The aim is to get rid of any metal that might cause disturbance in the X-ray images.

  • Wear: Loose, comfortable clothing. A cotton t-shirt and track pants are ideal.
  • Avoid: Clothing with metal zippers, buttons, or underwire bras.
  • Remove: Jewelry, glasses, hearing aids, and removable dental work before entering the scanner.

3. Timing and Documents

  • Arrival: Please arrive at least 15 minutes before your scheduled time at Semwal Diagnostics to complete necessary paperwork.
  • Records: Bring previous X-rays or doctor’s prescriptions to help our radiologists compare findings.

Tip: For more detailed medical guidelines on preparation, you can read more about how to prepare for an HRCT scan from the Cleveland Clinic.

Your Trusted Partner in Diagnostics: Semwal Diagnostics

Correctly preparing for a HRCT Thorax test is not that hard if you have an idea of the procedure. The wearing of comfortable garments and being on time are the ways in which you assist us to guarantee not only a fast but also a correct scanning operation.

If you need a reliable and precise HRCT chest test, choose Semwal Diagnostics. We are committed to providing high-quality imaging services with patient-centric care.

Book your appointment with Semwal Diagnostics today for accurate results and fast reporting.

FAQs

Frequently Asked Questions.

Is HRCT Thorax Safe?

Most patients consider safety as their main concern. Is HRCT thorax a hazard? This test, similar to all other CT scans, also makes use of ionizing radiation. Nonetheless, the amount that is used is strictly monitored and regarded as safe for diagnostic purposes. Usually, the benefits from a precise diagnosis go beyond the slight risk of radiation exposure.

Can I undergo an HRCT Thorax scan if I am pregnant?

CT scans are typically not done during pregnancy to prevent the exposure of the fetus to radiation. In case there is a possibility of you being pregnant, always notify your physician and our radiology staff so that other options could be explored.

What is the difference between a Chest X-ray and an HRCT Thorax?

An X-ray provides a 2D overview of the chest, whereas an HRCT provides detailed 3D cross-sectional slices, allowing for the detection of very fine lung tissue damage.

Is contrast dye required for an HRCT Thorax scan?

The majority of HRCT images that are taken to evaluate lung tissue are termed “non-contrast,” which means that there is no requirement for dye or injection. Generally, contrast is applied mainly to the examination of blood vessels.

Leave a Reply