It is completely understandable that you might have some queries if your doctor has suggested a USG Guided FNAC test. This manual is meant to give a lucid, step-by-step explanation of the process, its risks, and how to interpret your results.
What is a USG Guided FNAC Test?
FNAC, also known as Fine Needle Aspiration Cytology, is a diagnostic procedure that is less invasive. A thin needle is used to aspirate a small cell sample from a lump, mass, or area of concern in the body.
The term “USG Guided” signifies that the entire process is done under the guidance of an ultrasound (sonography). The ultrasound tool provides a continuous picture of your body’s interior, making it possible for the physician to accurately direct the needle to the intended spot. Thus, the USG FNAC Test is very accurate and secure.
The USG Guided FNAC Test Procedure: What to Expect
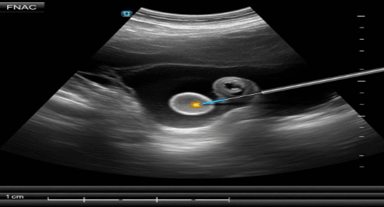
Understanding the FNAC Test procedure can help you feel more prepared. Here is what typically happens:
- Preparation: The Radiologist would ask you to lie down on an examination table, after which he would put some special gel on the skin overlying the tested area.
- Ultrasound Guidance: The doctor will use the ultrasound probe (transducer) to locate the precise lump or nodule.
- Cleaning and Anesthesia: The skin over the site will be cleaned with an antiseptic solution. A local anesthetic may be injected to numb the area and minimize discomfort.
- Sample Collection: After the anesthesia has taken effect, the physician will puncture the epidermis with an extremely slender needle and, by looking at the ultrasound monitor, will steer it straight to the intended tumor. The needle is then very gently moved to take a slice of cells, which are then sucked into the syringe that is connected to it. To make certain that there are sufficient cells, this can be done several times.
- Completion: The needle is removed, and a small bandage is applied to the site. The entire USG guided FNAC Test time duration for the sampling itself is often just 10 to 15 minutes.

Are There Any Risks?
USG guided FNAC is considered to be a very safe procedure and has minimal risks. The most common side effects are:
- Mild pain or discomfort at the needle site
- Minor bruising or swelling
- A very small risk of bleeding or infection
Most patients can resume their normal activities immediately after the test.
Understanding Your Results
After the test, the cell samples are sent to a pathology lab to be examined under a microscope.
How long does it take to get the report?
The USG guided FNAC Test report time can vary, but results are typically available within a few days to a week.
What do the results mean?
Your report will generally indicate one of the following:
- Benign (Non-cancerous): The cells are normal.
- Malignant (Cancerous): The cells are abnormal and show signs of cancer.
- Atypical or Indeterminate: The results are unclear, and further testing may be required.
- Inadequate Sample: Not enough cells were collected for a diagnosis. Your doctor may recommend repeating the procedure.
Your Trusted Partner in Diagnostics: Semwal Diagnostics
The selection of a trusted diagnostic center plays an important role as the first step in your health journey. Semwal Diagnostics is dedicated to offering accurate, empathetic, and progressive diagnostic services.
The test is performed by our specialized team of radiologists and technicians who are very experienced and have the best ultrasound technology in hand to provide maximum accuracy and comfort to the patients. In case you are in Dehradun and need a USG Guided FNAC Test, you can rely on us to deliver precise results. Your wellbeing and tranquillity are our utmost concern.
